Invisalign x Aparelho Fixo: Qual o melhor para o seu sorriso?
Você já pensou em corrigir os dentes, mas ficou na dúvida entre o tradicional aparelho fixo e o moderno Invisalign? Pois é, essa decisão não é tão simples quanto parece, mas vou te ajudar a entender melhor. Cada um tem suas vantagens, e o que funciona pra uma pessoa pode não ser o ideal pra outra. No final, o importante é encontrar o que combina mais com seu estilo de vida e suas necessidades. Vamos bater um papo sobre isso?
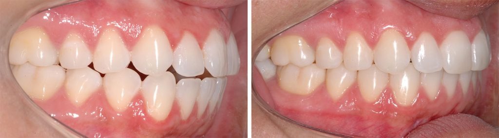
Conheço uma amiga que usou aparelho fixo por anos e, apesar do resultado ter sido incrível, ela reclamava do incômodo e das visitas constantes ao dentista pra ajustar. Já outro amigo optou pelo Invisalign e adorou a liberdade de poder tirar os alinhadores pra comer e escovar os dentes. Ou seja, cada caso é um caso, e as escolhas vão além de estética. Bora comparar os dois? Descubra na Hitoshi Odontologia qual a melhor opção para o seu sorriso. O Invisalign ou aparelho fixo, com tratamentos personalizados e modernos.
Fonte de reprodução: Youtube Dentista Responde
Invisalign ou aparelho fixo: como decidir?
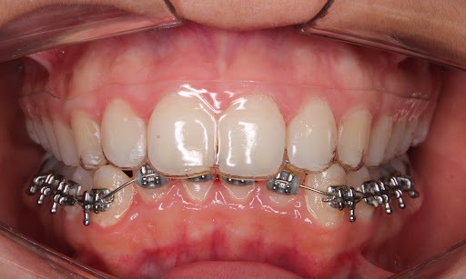
A principal diferença entre eles é a forma como atuam. O aparelho fixo, como o próprio nome diz, é aquele cheio de bráquetes e fios que ficam grudados nos dentes o tempo todo. Ele é mais indicado pra casos mais complexos, já que consegue fazer movimentos dentários mais intensos. Por outro lado, o Invisalign é feito de alinhadores transparentes, removíveis, que quase ninguém percebe. É discreto e super confortável, mas geralmente é indicado pra ajustes mais leves ou moderados.
Se você é daqueles que não quer abrir mão de comer tudo sem preocupação ou prefere algo mais discreto no dia a dia, o Invisalign pode ser uma ótima escolha. Mas, se o problema dos seus dentes for mais sério, talvez o aparelho fixo seja o caminho certo. A melhor decisão vai depender da avaliação do seu dentista.

Vantagens de cada opção
Por que escolher o Invisalign?
O Invisalign é perfeito pra quem busca conforto e praticidade. Ele não machuca as gengivas como os fios e bráquetes do aparelho fixo e pode ser retirado pra comer ou limpar os dentes. Além disso, o fato de ser transparente faz toda a diferença pra quem quer algo discreto. Pra mim, é como corrigir os dentes “em segredo”, sabe?
Por que escolher o aparelho fixo?
Se você precisa de um tratamento mais robusto ou quer algo que funcione 24/7 sem depender de tirar ou colocar, o aparelho fixo é uma escolha segura. Ele pode ser menos confortável, mas entrega resultados incríveis pra casos mais complicados.

Como escolher o melhor pra você?
Consulte um dentista de confiança
Essa decisão não dá pra tomar sozinho. Um dentista de confiança vai avaliar seu caso e indicar o que faz mais sentido.
Pense no seu estilo de vida
Se você tem uma rotina muito corrida ou acha que vai esquecer de usar os alinhadores, talvez o fixo seja a melhor opção.

Hitoshi Odontologia: Cuidando do seu sorriso com carinho e excelência
Sabe aquele lugar onde você entra e já sente que está em boas mãos? É exatamente essa sensação que você tem no Hitoshi Odontologia. Aqui, o cuidado vai além dos dentes: é sobre cuidar de você como um todo. Desde o atendimento atencioso até os tratamentos modernos, tudo é pensado pra garantir que você saia sorrindo, literalmente! Um amigo meu foi lá recentemente pra colocar um implante e saiu encantado. Ele me disse: “Foi tão tranquilo que parecia que eu tava batendo papo com um amigo, não no dentista!”
Além disso, o Hitoshi Odontologia tem aquela vibe acolhedora que faz a diferença. Não importa se é um simples check-up ou algo mais complexo, eles tratam cada paciente com respeito e dedicação. E o melhor: explicam tudo direitinho, sem aquela linguagem complicada que deixa a gente confuso. Se você tá procurando um lugar pra cuidar do seu sorriso com qualidade e confiança, pode confiar no Hitoshi. Seu sorriso agradece!
